RUSIA NOMBRA A LA VACUNA CONTRA EL CORONAVIRUS: SPUTNIK V
RUSIA NOMBRA A LA VACUNA CONTRA EL CORONAVIRUS: SPUTNIK V Rusia está de plácemes después de anunciar que fue...
RUSIA NOMBRA A LA VACUNA CONTRA EL CORONAVIRUS: SPUTNIK V Rusia está de plácemes después de anunciar que fue...
EL SINDICATO DE SALUD N.L. SECCIÓN #34 CONTINÚA ENTREGANDO PLAZAS DE TRABAJO PARA QUE LOS SINDICALIZADOS SIGAN AVANZANDO.
LA OMS ACOGE CON SATISFACCIÓN LOS RESULTADOS DE UN ENSAYO SOBRE EL USO DE LA DEXAMETASONA EN EL TRATAMIENTO DE...
HASTA EL MOMENTO SE HAN CONFIRMADO TRES MUERTES Y 16 PERSONAS CON COVID-19 EN ALLENDE, N.L.
´´Doctor Manuel de la O. Usted no está solo, cuenta con nosotros los Nicolaítas.´´
#COMODATO UN DÍA COMO HOY PERO EN 1983 SE DESCUBRE EL HIV, VIRUS DEL SIDA Un día como hoy,...
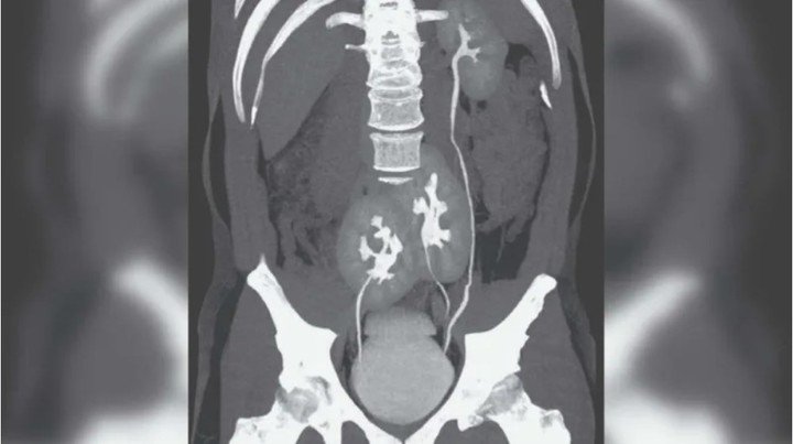
FUE AL MÉDICO POR UN DOLOR DE ESPALDA Y DESCUBRIERON QUE TIENE 3 RIÑONES Un hombre de 38 años...
ESTO LE PASA A TU CUERPO SI COMES JITOMATE TODOS LOS DÍAS Los jitomates son uno de los alimentos más...
CIENTÍFICA MEXICANA ELIMINA POR COMPLETO EL VIRUS DE PAPILOMA HUMANO EN 29 MUJERES. Eva Ramón Gallegos, científica de la Escuela...
MANTENER TU DISTANCIA SOCIAL PUEDE PREVENIR HASTA 59,000 INFECCIONES. Cuando hablamos de la cuarentena por el coronavirus parecemos no entender...
UN DATO QUE TAL VEZ NO SABÍAS DEL CORONAVIRUS… El coronavirus se ensayó mediante un simulacro de pandemia en septiembre...
JEFE DE LA JURISDICCIÓN SANITARIA #7, DR. CAYETANO SILVA CANTÚ BRINDA UN TEMA IMPORTANTE DEL CORONAVIRUS.
LA FLOR DE JAMAICA MATA MÁS BACTERIAS QUE EL CLORO La Jamaica es conocida por sus propiedades medicinales, previene la hipertensión,...
LLEGA A MÉXICO EL METOTREXATO, MEDICAMENTO CONTRA EL CÁNCER. El medicamento metotrexato, utilizado en el tratamiento contra el cáncer, llegó este...
5 REMEDIOS POPULARES PARA ELIMINAR UN “BARRITO” El acné es tan frecuente que se considera una parte normal de la...